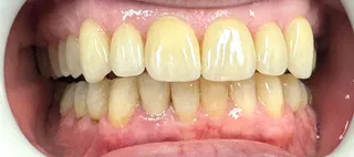
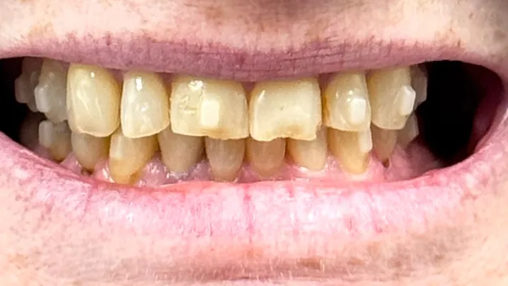
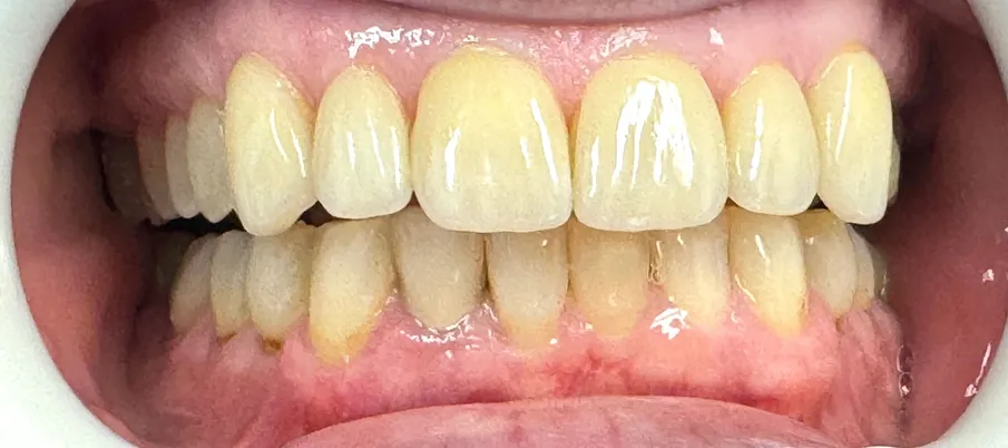
Before and After Pictures
Case #1 (Anterior crowns)
Before After
Before After
Case #3 (Veneer)
Before After
Before After
Case #5 (Invisalign)
Case #6 (Lower Anterior Implant)
Before After
Case #7 (Implant)
Case #8 (Upper Full Denture)
without denture with full denture with full denture#2
Case #9 (Periodontal surgery and restoration)
Before Before After Periodontal surgery and restoration
Case #10 (Anterior extraction and Implant bridge placement)
Before After
Monday:
9:00 am-6:30 pm
Tuesday:
8:00 am-6:00 pm
Wednesday:
8:30 am-5:30 pm
Thursday:
8:30 am-5:30 pm
Friday:
Closed
Saturday:
8:30 am-2:30 pm Once/Month
Sunday:
Closed